Die Valgusdeformität des ersten Zehs betrifft am häufigsten Frauen im reifen Alter, aber auch Männer. Eine deformierte Daumenbasis sieht ästhetisch nicht ansprechend aus. In diesem Fall verspürt die Person körperliche Beschwerden und im fortgeschrittenen Stadium Schmerzen. Eine Abweichung des großen Zehs ist die Folge einer ungleichmäßigen Körperbelastung des Fußes. Solche Veränderungen wirken sich nachteilig auf die Füße und andere Finger aus.
Ursachen der Krümmung

Ein Hallux valgus entsteht nicht ohne ersichtlichen Grund. Diese Pathologie erscheint und entwickelt sich unter dem Einfluss verschiedener Gründe. Hallux valgus betrifft am häufigsten Menschen, die genetisch für diese Krankheit prädisponiert sind. Ärzte stellen die folgenden Ursachen für die Deformität eines Zehs fest:
- Übergewicht.
- Endokrine Erkrankungen.
- Osteoporose.
- Plattfüße.
- Diabetes mellitus.
- Schuppenflechte.
- Arthritis.
- Hormonelle Veränderungen während der Schwangerschaft und im Alter.
- Enge Schuhe tragen.
- Die Besonderheit des Berufs besteht darin, dass eine Person jeden Tag eine erhöhte körperliche Aktivität an den Beinen ertragen muss.
Stufen und Sorten
Ärzte betrachten 3 Stadien des Krankheitsverlaufs:
- Subtile Valgusabweichung. Es treten Hautrötungen sowie leichte Abschürfungen auf. Beschwerden beim Gehen.
- Am Daumen ist bereits deutlich ein Wachstum zu erkennen. Es werden Schwellungen und Schmerzen beobachtet.
- Diese Form der Erkrankung gilt als fortgeschritten. Der Mensch leidet unter ständigen, unerträglichen Schmerzen am großen Zeh und am gesamten Fuß sowie unter dem Auftreten von verhornter Haut. Auch im Schlaf verschwinden die Schmerzen nicht.
Die Entstehung eines unangenehmen Hallux valgus wird von vielen Faktoren beeinflusst. Experten haben die folgenden Arten von Fingerdeformitäten als eigene Kategorie identifiziert:
- Kreuzungsdeformität. Die Krümmung erfolgt in verschiedene Richtungen. Wir drücken uns die Daumen.
- Krümmung der Gelenke so weit, dass sie sich immer in einer gebeugten Position befinden. Im ersten Entwicklungsstadium der Pathologie können die Finger mit Hilfe der Hände zum Strecken gezwungen werden. Wenn zu diesem Zeitpunkt nicht mit der Behandlung begonnen wird, werden die Finger so steif, dass Sie sie mit den Händen nicht mehr strecken können. Jetzt ist es unmöglich, auf eine Operation zu verzichten.
- Taylors Deformität. Pathologie, die die kleinen Finger betrifft. Gekennzeichnet durch das Auftreten einer Wucherung an den Knochen.
- Krümmung der Phalangen, die Haken ähnelt.

Experten gehen davon aus, dass Ballerinas einem Hallux-valgus-Risiko ausgesetzt sind. Beim Tanzen auf den Zehenspitzen werden die Zehen stärker beansprucht, was zu einer Krümmung der Zehen führt. Auch ein falscher Gang kann zu unerwünschten Ergebnissen führen. Provozierende Faktoren verschlimmern sich sogar mit zunehmendem Alter.
Diagnosemethoden
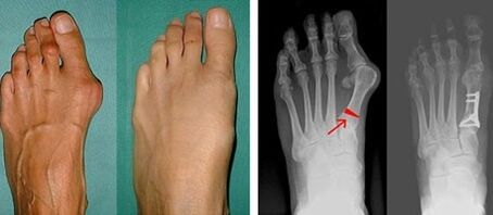
Wenn die visuelle Untersuchung und das Röntgen kein Ergebnis liefern, wird der Patient zur Plantographie überwiesen, um mögliche Plattfüße festzustellen. Bei dieser Methode werden Abdrücke der Füße angefertigt, auf deren Grundlage für den Patienten Schuhe oder Einlagen mit orthopädischen Eigenschaften angefertigt werden. Dem Patienten wird dann eine Podometrie verschrieben. Bei dieser Methode wird mithilfe einer Computeranalyse der Gewichtsdruck einer Person auf die Füße ermittelt. Die Ergebnisse der fortgeschrittenen Diagnostik sind die Grundlage für die Wahl einer Behandlungsmethode bei der Krümmung der ersten und zweiten Zehe.
Der Nachteil der Röntgenuntersuchung ist die Notwendigkeit, die Beine des Patienten zu bestrahlen, was vielen Patienten nicht gefällt. Sie halten dies für eine zu schädliche Methode. In dieser Hinsicht kann eine wirksame Behandlung des Hallux valgus nicht ohne die Ergebnisse der Plantographie begonnen werden.

Dies ist die aussagekräftigste Diagnosemethode. Mit seiner Hilfe stellt der Arzt nicht nur das Vorliegen von Plattfüßen fest, sondern auch den Zustand des Fußgewölbes. Die Computeruntersuchung ist die effektivste Methode zur Erkennung von Plattfüßen.
In der ersten Phase der Valguserkennung des großen und kleinen Zehs führt der Arzt eine visuelle Untersuchung durch. Auf diese Weise wird der Entwicklungsstand der Pathologie bestimmt. Um detaillierte Gelenkveränderungen zu erkennen, werden Röntgenaufnahmen und Plantographie verordnet.
Medikamentöse Therapie
Es ist besser, mit der sanften Behandlung des Fußes und der großen Zehe zu beginnen, bevor das letzte Entwicklungsstadium der Pathologie eintritt. Experten wissen, wie man diese Pathologie behandelt, aber sie wissen nicht, wie man die fortgeschrittene Form der Krankheit ohne chirurgischen Eingriff heilen kann. Zunächst ermitteln Ärzte die Ursache der Fingerkrümmung sowie das Vorhandensein komplizierender Faktoren. Zu den Aufgaben der medikamentösen Therapie gehört bekanntlich auch die symptomatische Therapie. Dadurch werden Schmerzen, Entzündungen und Schwellungen beseitigt.
Am häufigsten werden den Patienten nichtsteroidale entzündungshemmende Medikamente verschrieben. Neben ihrer Hauptfunktion reduzieren sie Schmerzen und Fieber. Wenn Komplikationen auftreten, werden häufig hormonelle Kortikosteroide verschrieben. Wenn die Verformung der Finger durch Erkrankungen der inneren Organe verursacht wird, können die Gelenke nach Heilung der zugrunde liegenden Pathologie korrigiert werden. In diesem Fall sind Endokrinologen gemeinsam mit anderen hochspezialisierten Spezialisten an der Problematik beteiligt. Viele Menschen versuchen, sich mit Volksheilmitteln zu heilen, vergessen dabei, dass dies nur im Anfangsstadium der Entwicklung der Pathologie möglich ist.
Wenn die Pathologie im Anfangsstadium bemerkt wird, wird der krumme Daumen mit Hilfe von Geräten – Kunststoff- oder Silikonpolstern mit orthopädischen Eigenschaften – geglättet. Während der Behandlung sollten Sie weiche, geräumige Schuhe tragen. Um krumme Finger zu glätten, werden orthopädische Einlagen, Fußgewölbestützen und andere Korrekturen verwendet. Deformierte Finger werden mit speziellen Schienen, Ringen, Kappen und Kämmen fixiert. Mit Hilfe solcher Geräte werden die Finger in der richtigen Position gesichert. Dank orthopädischer Fixateure wird die Entwicklung einer weiteren Verformung der Finger gestoppt.
Es gibt zwei Möglichkeiten, den Hallux valgus zu behandeln. Das erste ist eine schmerzlose Korrektur der Deformität, die keinen chirurgischen Eingriff und keine Rehabilitation erfordert, das zweite ist die Behandlung durch eine Operation.
Chirurgische Behandlungsmethoden

Eine vollständige Heilung des Hallux valgus ist nur mit Hilfe des Skalpells eines Chirurgen möglich. Manchmal reicht schon eine Operation und der Patient vergisst das Problem für immer. Der Arzt führt den chirurgischen Eingriff unter Berücksichtigung der Art der Hallux-valgus-Deformität durch. Die häufigsten Arten von Operationen sind:
- Exostektomie. Es wird nur ein bestimmter Teil des Mittelfußknochens entfernt.
- Resektionsarthroplastik. Der Endteil des Mittelfußknochens wird entfernt.
- Osteotomie. Es wird verwendet, um den Mittelfußknochen sowie einen kleinen Teil der Phalanx zu entfernen.
- Resektion. Ziel der Operation ist es, die betroffenen Weichteile zu entfernen und an ihrer Stelle gesundes Gewebe zu verpflanzen.
- Arthrodese. Bietet erzwungene Immobilität der Gelenke.
- Distale Osteotomie. Bei der Operation wird der Winkel zwischen den Gelenken verkleinert.
- Entfernung des entzündeten Schleimbeutels der Großzehe.
- Installation von Implantaten.
Die Rehabilitationszeit nach der Operation kann bis zu sieben Wochen dauern. In diesen wenigen Wochen werden in der Regel besondere Vorsorgemaßnahmen durchgeführt. Dies sind zunächst einmal therapeutische Übungen, die Folgendes fördern:
- Verbesserung des Gesundheitszustands;
- Linderung der Schmerzen beim Gehen;
- Erhöhung des Tonus der Beinmuskulatur;
- Einbau und Fixierung des deformierten Gelenks in seiner natürlichen Position.
Die Dauer der Rehabilitationsphase hängt meist davon ab, wie komplex die Operation war. Um die Genesung zu beschleunigen, sollten Sie am nächsten Tag mit der Bewegung Ihrer Finger beginnen. Nach einer Woche kann der Patient bereits aufstehen und sich unter Vorsichtsmaßnahmen langsam bewegen. Die Hauptsache ist, anhaltenden Stress zu vermeiden.
Nach der Operation benötigen Sie hochwertige, weiche und geräumige Schuhe. Der Kauf erfolgt auf Empfehlung eines Arztes. Übrigens, wenn Sie gleich zu Beginn der Entwicklung des Hallux valgus mit therapeutischen Übungen beginnen, können Sie nicht nur auf einen chirurgischen Eingriff verzichten, sondern auch ohne Geld für verschiedene Geräte, Salben und Medikamente zu verschwenden.
Experten sagen, dass die chirurgische Behandlungsoption nahezu hundertprozentig positive Ergebnisse liefert. Diese schonende Behandlungsmethode erfordert keine Narkose und verursacht weder Stress noch psychische Belastungen. Allerdings können schmerzfreie Behandlungsmethoden einen Menschen nicht vor dem letzten Stadium der Krankheit retten.
Vorbeugende Maßnahmen

Vorbeugende Maßnahmen sind ganz einfach: Tragen Sie bequeme Schuhe mit breiter Spitze, deren Innenseite keinen Druck auf die Zehen ausübt. Gelenke im Besonderen und Füße im Allgemeinen sind in der Lage, das im Laufe des menschlichen Wachstums angesammelte Gewicht unbeschadet auszuhalten. Daher ist es sehr wichtig, Ihr Körpergewicht zu überwachen, um Fettleibigkeit zu vermeiden.
Eine der wirksamen vorbeugenden Übungen ist folgende: Eine Person sitzt auf einem Stuhl und stellt die Füße auf den Boden. Er bewegt sie mit den Fingern.
Die nächste Übung besteht darin, barfuß auf dem Boden zu laufen, abwechselnd auf Zehen und Fersen.
Einfache Gymnastik wird schnell gemeistert, was zu komplexeren Körperübungen führt. Anschließend können Sie Aktionen ausführen, z. B. einen Bleistift oder einen anderen Gegenstand vom Boden aufheben.
Es ist besser, einer Verformung des Daumens vorzubeugen, als anschließend in medizinischen Einrichtungen Schlange zu stehen, um ärztliche Empfehlungen zur Auswahl einer wirksamen Behandlung zu erhalten.























